DIASTASIS RECTOS DEL ABDOMEN
Miguel Ángel Alcocer Ojeda • 22 de noviembre de 2025
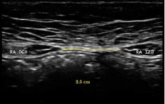
distancia entre rectos abdominales. ecografía.

¿En qué consiste la Diastasis de los Rectos del Abdomen?
La separación de los músculos Rectos del Abdomen o estiramiento de la línea media (línea alba) de los músculos abdominales, es una condición común después de algunos embarazos o después de muchos años de trabajo abdominal con mala técnica, a esta condición se le llama Diástasis de los Rectos Abdominales (DRA). Medidas consideradas patológicas:
Más de 2-2,5 cm de separación a nivel del ombligo (o por encima/por debajo). Puede haber separación en varios niveles: supraumbilical, umbilical y infraumbilical.
Lo más importante no es solo la distancia, sino la pérdida de tensión de la línea alba y la incapacidad de transmitir fuerza entre los Rectos del Abdomen.
Causas más frecuentes:
- Embarazo y parto (la más común en mujeres).
- Aumento brusco y grande de volumen abdominal (obesidad, ascitis, tumores).
- Ejercicios abdominales mal ejecutados (crunches tradicionales, levantamientos pesados sin control).
- Factores genéticos (tejido conjuntivo más laxo).
- Tos crónica, estreñimiento crónico.
DIASTASIS RECTOS DEL ABDOMEN POSPARTO
Los factores de riesgo para desarrollar una DRA durante el embarazo que no se resuelve posparto no están claros. Mota et al. (2014) no encontraron diferencias estadísticas entre las mujeres con DRA persistente a los 6 meses posparto y las que no la presentaban, al comparar las siguientes variables:- Índice de masa corporal antes del embarazo.
- Índice de masa corporal a los 6 meses posparto.
- Aumento de peso durante el embarazo.
- Peso del bebé al nacer, circunferencia abdominal durante el embarazo.
- Estadísticas generales de hipermovilidad (puntuación de Beighton).
Las alteraciones de la función de la pared abdominal se han relacionado con múltiples afecciones asociadas con el embarazo y el parto, como el dolor lumbar y de la cintura pélvica , la incontinencia urinaria, el prolapso de órganos pélvicos y la diástasis de rectos abdominales (DRA).
No todas las mujeres con diástasis de rectos abdominales requieren cirugía para restablecer la función completa; sin embargo, algunas sí la requieren. Si una mujer posparto no logra:
- Progreso en su programa de ejercicios.
- Recuperar la función sin dolor.
- Recuperar la continencia urinaria.
- Si presenta un daño notable por estiramiento en la pared abdominal asociado con una diástasis del recto abdominal, se justifica una evaluación biomecánica y ecográfica completa del componente miofascial del compartimento abdominal.
EN QUE CONSISTE EL TRATAMIENTO DE FISIOTERAPIA
La FISIOTERAPIA es la primera línea de elección en la mayoría de los casos, especialmente en mujeres posparto y en diástasis leves-moderadas. Objetivos principales:
- Mejorar la tensión y función de la línea alba.
- Fortalecer la faja abdominal profunda (transverso, oblicuos, suelo pélvico y diafragma).
- Reeducar la activación correcta del core.
- Evitar ejercicios y gestos que aumenten la presión intraabdominal.

Introducción Si alguna vez has sufrido dolor de espalda o has pasado por una recuperación posparto, es casi seguro que has oído la misma frase: "Necesitas fortalecer tu core". Se ha convertido en el mantra universal para casi cualquier dolencia del tronco, pero ¿y si esta idea tan extendida no fuera toda la verdad? ¿Y si, en algunos casos, fuera incluso contraproducente? Gracias a la tecnología moderna, concretamente a una técnica de ecografía funcional conocida como Rehabilitative Ultrasound Imaging (RUSI), los fisioterapeutas y científicos pueden ahora mirar, en tiempo real, lo que ocurre dentro de nuestros músculos más profundos. Esta ventana al interior de nuestro cuerpo está derribando viejos mitos y revelando verdades sorprendentes sobre cómo funciona realmente nuestro "core". Prepárate para cambiar tu forma de pensar. A continuación, te presentamos los 5 hallazgos más impactantes y contraintuitivos extraídos directamente de la investigación científica reciente. 1. La Separación Abdominal Postparto (Diástasis) No Siempre Causa Dolor Lumbo-Pélvico La Diástasis de Rectos Abdominales (DRA) —la separación de los músculos frontales del abdomen a lo largo de la línea media— es un fenómeno extremadamente común durante y después del embarazo. De hecho, un estudio de Mota et al. (2015) encontró que el 100% de las mujeres la presentaban en la semana 35 de gestación. La creencia popular es que esta separación es una causa directa de dolor de espalda y pélvico, generando una considerable ansiedad en las nuevas madres. Sin embargo, el mismo estudio siguió a estas mujeres durante seis meses y descubrió algo inesperado: no existía una relación estadísticamente significativa entre tener diástasis y sufrir dolor lumbo-pélvico. Las mujeres con una separación abdominal a los seis meses del parto no eran más propensas a reportar dolor que aquellas cuya separación se había resuelto. Este descubrimiento es crucial porque reduce el miedo y la ansiedad asociados a la diástasis. Sugiere que el objetivo de la rehabilitación no debe ser la obsesión por "cerrar el espacio" anatómicamente, sino restaurar la función, la tensión y la coordinación de toda la pared abdominal. La función es más importante que la anatomía perfecta. -------------------------------------------------------------------------------- 2. ¿Músculos Débiles? Tu Dolor Crónico Podría Deberse a Músculos que Trabajan Demasiado La idea de que el dolor de espalda crónico se debe a un "core débil" está profundamente arraigada. La solución lógica parece ser fortalecer esos músculos sin descanso. Pero la ciencia está revelando una realidad mucho más compleja. Un estudio de Sweeney et al. (2014) investigó el comportamiento del músculo multífido lumbar, un estabilizador profundo clave, en personas con dolor lumbar crónico en un solo lado del cuerpo. Al evaluarlos en una posición funcional (de pie), observaron que su músculo multífido se activaba con un porcentaje de engrosamiento mayor en comparación con las personas sanas. Esto lo cambia todo. El problema no siempre es la falta de activación, sino una estrategia de control motor alterada. Piensa en ello como tratar de arreglar un tartamudeo gritando más fuerte. El problema no es la falta de volumen (fuerza), sino un fallo en la coordinación del habla. De manera similar, estos músculos hiperactivos no son débiles; están atrapados en un patrón disfuncional de "gritar" que necesita ser reentrenado, no simplemente amplificado. La rehabilitación, por tanto, no puede consistir únicamente en "fortalecer", sino que debe centrarse en reeducar el control, la coordinación y la eficiencia del movimiento. -------------------------------------------------------------------------------- 3. 'Sin Dolor' No Significa 'Curado': El Músculo Profundo que 'Olvida' Cómo Trabajar Una de las mayores frustraciones del dolor de espalda agudo es su alta tasa de recurrencia. Muchas personas se sienten bien durante un tiempo, solo para que el dolor regrese con un movimiento aparentemente inofensivo. La razón podría estar en un músculo que, aunque ya no duela, ha desarrollado una especie de "amnesia". Una investigación fundamental de Hides et al. (1996), citada en un editorial de Fernández Carnero (2014), se centró en el músculo multífido, un estabilizador clave. El estudio demostró que la recuperación de la masa y función de este músculo no es automática después de que el dolor de un primer episodio agudo desaparece. En otras palabras, aunque el dolor se vaya, la disfunción muscular subyacente puede persistir. La implicación es profunda: el músculo "olvida" cómo activarse correctamente, dejando tu columna vulnerable a futuras lesiones y episodios de dolor. Esto subraya la necesidad crítica de una rehabilitación específica y guiada, incluso después de que los síntomas hayan cesado, para reeducar este músculo y romper el ciclo de recurrencia. Simplemente esperar a que el dolor se vaya no es suficiente. -------------------------------------------------------------------------------- 4. El Extraño Caso del Músculo que se Encoge: Cómo Funcionan Realmente Tus Abdominales Piensa en un ejercicio clásico para el core, como la elevación de una pierna recta mientras estás tumbado boca arriba. Intuitivamente, esperarías que todos tus músculos abdominales se contrajeran y se "apretaran" para estabilizar el tronco. La realidad, visible gracias a la ecografía, es mucho más sofisticada. Un estudio de Teyhen et al. (2012) midió el grosor de los músculos abdominales durante esta maniobra y reveló una coreografía muscular increíblemente precisa. Mientras que los músculos más profundos, como el transverso del abdomen y el oblicuo interno, efectivamente se engrosaban (se activaban), el músculo más superficial, el oblicuo externo, en realidad disminuía su grosor entre un 4% y un 7%. Este hallazgo ilustra la asombrosa complejidad del control motor del core. No se trata de una contracción "bruta" de todos los músculos a la vez, sino de una sinfonía coordinada donde algunos músculos se activan para estabilizar mientras otros se alargan o relajan para permitir el movimiento. Demuestra que "más contracción" no siempre es mejor; la clave es la contracción correcta en el momento correcto. -------------------------------------------------------------------------------- 5. Ver Para Creer: Por Qué Mirar una Pantalla de Ecografía es Clave para Rehabilitar tu Core El biofeedback es una técnica que te permite obtener información en tiempo real sobre procesos de tu cuerpo. La ecografía funcional (RUSI) es la herramienta de biofeedback visual definitiva para el core, ya que permite que el paciente vea sus propios músculos contraerse en una pantalla mientras realiza un ejercicio, creando una conexión cerebro-músculo directa. La efectividad de esta técnica fue demostrada en un estudio de Van et al. (2006) que comparó a dos grupos que aprendían a contraer el músculo multífido. Un grupo recibió solo instrucciones verbales, mientras que el otro recibió las mismas instrucciones más el biofeedback visual con ecografía. Los resultados fueron contundentes: el grupo con biofeedback visual logró mejoras significativamente mayores en la activación del multífido. Crucialmente, los autores encontraron que el grupo de retroalimentación visual retuvo su mejor rendimiento una semana después, mientras que el rendimiento del grupo que solo recibió retroalimentación verbal disminuyó. "Ver para creer" no es solo un dicho; acelera y consolida drásticamente el aprendizaje motor. Ayuda a tu cerebro no solo a hacer bien el ejercicio en ese momento, sino a "recordar" cómo hacerlo correctamente a largo plazo, lo cual es fundamental para una recuperación duradera. -------------------------------------------------------------------------------- CONCLUSIÓN Como hemos visto, el core es mucho más sutil que un simple conjunto de "abdominales". La obsesión por un "espacio" físico en la diástasis a menudo ignora el punto clave de la tensión funcional (Hallazgo 1), del mismo modo que la suposición de "debilidad" en el dolor crónico puede ocultar el problema real de la sobreactivación muscular (Hallazgo 2). La verdadera salud del core reside en un control sofisticado: asegurar que los músculos profundos no hayan "olvidado" su función tras una lesión (Hallazgo 3), orquestar la compleja sinfonía en la que unos músculos se contraen mientras otros se relajan (Hallazgo 4) y aprovechar la tecnología para ayudar al cerebro a reaprender estos patrones con precisión (Hallazgo 5). La evidencia es clara: nuestro enfoque del core ha madurado. Estamos superando la fijación en la perfección anatómica —como la anchura de una separación abdominal— y la aplicación de fuerza bruta. En su lugar, la ciencia nos orienta hacia un modelo más sofisticado, centrado en el control inteligente, la coordinación y la reeducación. La próxima vez que pienses en tu 'core', ¿pensarás en fuerza bruta o en control inteligente? La respuesta podría ser la clave para tu bienestar. EN FISIOMECHANICS, SOMOS EXPERTOS Y PIONEROS EN LA EVALUACIÓN ECOGRÁFICA DE TU CORE EN RELACIÓN CON EL DOLOR LUMBAR

El esguince lateral del tobillo es, con diferencia, una de las lesiones musculo esqueléticas más frecuente en consultas de fisioterapia y urgencias. A pesar de ser “algo habitual”, sigue habiendo mucho mito y protocolos obsoletos. Desde el primer momento se hace necesario un manejo adecuado de esta lesión, para ello aplicaremos los protocolos de evaluación y tratamiento descritos por las últimas investigaciones llevadas a cabo. EVALUACIÓN/DIAGNÓSTICO Regla de Ottawa actualizada. Si NO hay dolor en ninguna de estas 6 zonas → puedes descartar fractura con seguridad y evitar radiografía innecesaria: Base 5.º metatarsiano Navicular Maleolo externo (6 cm proximal) Maleolo interno (6 cm proximal) Incapacidad para apoyar 4 pasos en urgencias y en consulta CLASIFICACIÓN Las lesiones ligamentarias de clasifican en grados por gravedad. (2024 Consensus International Ankle Consortium) Grado I → daño ligamentoso mínimo, apoyo inmediato posible. Grado II → rotura parcial, edema e inestabilidad funcional moderada. Grado III → rotura completa + inestabilidad mecánica clara. Es necesario valorar la inestabilidad del tobillo para prevenir lesiones crónica o la presencia de lesión asociada: Anterior Drawer Test. Talar Tilt Test Prueba de estrés en inversión con ecografía dinámica → gold standard actual, en nuestra consulta contamos con ecografía para realizar esta prueba funcional diagnóstica. Tratamiento agudo (primeras 72-96 h) Las últimas investigaciones indican que debemos abandonar el protocolo clásico RICE (Reposo, Hielo, Compresión y Elevación) por lo que sugiere la guía británica NICE 2024 y el consenso de la International Ankle Consortium 2023-2025 por PEACE & LOVE: (fase aguda) P → Protection (protección): 1-3 días máximo de descarga parcial si dolor >7/10 E → Elevation (elevación) A → Avoid anti-inflammatories (evitar Antiinflamatorios): reducen la inflamación necesaria para la reparación del ligamento a medio plazo C → Compression (compresión): vendaje funcional o tobillera semirrígida > crioterapia aislada E → Education (educación): el mejor predictor de recuperación es que el paciente entienda que “no está roto, está irritado”LOVE (a partir del 4.º-5.º día) L → Load (carga): apoyo precoz lo antes que tolere el dolor (0-4/10). O → Optimism (optimismo): reduce el miedo y la recurrencia de la lesión. V → Vascularisation (vascularización): cardio de bajo impacto desde el día 5-7. E → Exercise (ejercicio): clave real de la recuperación Tratamiento basado en evidencia Evitar la Inmovilización prolongada (>10 días) o yeso = contraindicado, ya que aumenta 3-4 veces el riesgo de inestabilidad crónica. Resulta mejor opción en la fase aguda (0-10 días), utilizar una Tobillera semirrígida tipo Aircast o similar + apoyo precoz + vendaje funcional 8-10 días. Se debe aplicar un p rograma de rehabilitación óptimo entre 2 y 12 semanas dependiendo de la gravedad. "A risk assessment model for chronic ankle instability: indications for early surgical treatment? An observational prospective cohort – study protocol" https://pmc.ncbi.nlm.nih.gov/articles/PMC6052530/ 4 pilares obligatorios del TRATAMIENTO (todos con efecto grande): Ejercicio terapéutico progresivo (fortalecimiento peroneos + control neuromuscular) Entrenamiento propioceptivo (tablas inestables, bosu, ojos cerrados) → reduce reincidencia un 35-40 % Terapia manual (movilización grado III-IV astrágalo + técnicas Mulligan MWM) Educación + vuelta progresiva al deporte (criterios claros) Tiempo medio de vuelta al deporte Grado I → 12-18 días Grado II → 3-6 semanas Grado III → 8-16 semanas (con rehabilitación óptima) Prevención de la inestabilidad crónica El 35-40 % de casos si no se trata bien, puede terminar con inestabilidad crónica, para evitarlo debemos establecer un programa mínimo de 6-8 semanas: Tobillera o tape preventivo los primeros 6-12 meses en deportes de riesgo Entrenamiento neuromuscular 2-3 veces/semana (ej. FIFA 11+ tobillo o programa de Hupperets) → reduce recurrencia hasta un 50 % Conclusión Día 1-3 → tobillera + apoyo precoz + educación (“cuanto antes camines bien, antes te curarás”) Día 4-10 → quitar muletas, iniciar ejercicios isométricos + bicicleta sin resistencia Semana 2-6 → programa multimodal (fuerza + propiocepción + terapia manual) Alta con criterios objetivos: <10 % déficit fuerza peroneos, SEBT <4 cm diferencia, sin dolor al salto monopodal International Ankle Consortium position statement 2023-2024 https://www.jospt.org/doi/10.2519/jospt.2013.0303 Ankle Stability and Movement Coordination Impairments: Lateral Ankle Ligament Sprains Revision https://www.jospt.org/doi/10.2519/jospt.2021.0302 ESTAMOS A TU ENTERA DISPOSICIÓN PARA TU TRANQUILIDAD, CON EL CONOCIMIENTO Y LA SEGURIDAD DE ABORDAR ADECUADAMENTE LAS LESIONES LIGAMENTARIAS QUE AFECTAN A LA ARTICULACIÓN DEL TOBILLO.

Los músculos de la pantorrilla son fundamentales para el movimiento humano. Son los principales flexores plantares de la articulación del tobillo y contribuyen significativamente a la función de las extremidades inferiores, incluyendo caminar, correr y saltar. Su importante contribución al movimiento humano hace que la evaluación de la función de los músculos de la pantorrilla sea común en la práctica clínica. La prueba de elevación de talones se ha consolidado como una herramienta clínica ampliamente utilizada para evaluar el rendimiento de la unidad músculo-tendón de la pantorrilla. Contar el número de repeticiones que una persona puede levantar el talón del suelo puede parecer una prueba sencilla, pero existen muchos aspectos de su realización que pueden influir en el resultado, y además, se pueden obtener datos adicionales más allá del simple conteo, como la Fuerza y la Resistencia de esta estructura músculo tendinosa. Durante esta evaluación, el participante realiza elevaciones de talones repetidas, poniéndose de puntillas y bajándose de forma controlada, hasta completar el mayor número de repeticiones posible. Esta prueba evalúa los flexores plantares del tobillo mediante ciclos continuos de acción concéntrica-excéntrica, lo que permite comprender la capacidad funcional, aunque se suele realizar en apoyo unipodal, también puede realizarse en apoyo bipodal. Las medidas de resultado obtenidas en la prueba de elevación de talones incluyen el número de repeticiones, la altura máxima y el trabajo realizado. Tradicionalmente la medida de resultado más utilizada en esta prueba es el número de elevaciones realizadas. Sin embargo, otras medidas, como la altura de elevación del talón, son cruciales al evaluar el rendimiento, ya que rangos de altura menores pueden llevar a un mayor número de repeticiones simplemente porque se requiere menos trabajo por repetición. El término «trabajo» tiene en cuenta el desplazamiento positivo (rango) de cada repetición y la masa corporal del individuo. Consideremos a una persona que realiza 20 elevaciones de talón con la pierna derecha y 20 con la izquierda, pero el talón izquierdo se eleva a una altura de 5 cm, mientras que el derecho alcanza los 10 cm. La cantidad de trabajo realizado con la pierna izquierda es menor que con la derecha. En este caso, contar o comparar simplemente el número de repeticiones podría no reflejar completamente la capacidad de la pantorrilla. Estudios científicos respaldan esta afirmación, ya que se ha demostrado que, en pacientes con rotura del tendón de Aquiles y tendinopatía de Aquiles, el trabajo es una medida más sensible para detectar diferencias que el número de repeticiones. ¿CÓMO SE EJECUTA LA PRUEBA? Posición inicial: El paciente se coloca de pie, descalzo o con calzado mínimo. Apoyado con las manos ligeramente en una pared o superficie para mantener el equilibrio (pero sin descargar mucho peso). Pies separados a la anchura de caderas, rodillas rectas (para evaluar principalmente el gastrocnemio) o ligeramente flexionadas (para evaluar más el sóleo en algunas variantes). Ejecución: Se le pide al paciente que realice elevaciones repetidas sobre las puntas de los pies (concentrándose en una sola pierna, la afectada). El movimiento debe ser completo, debe bajar completamente el talón hasta el suelo (o por debajo si hay dorsiflexión suficiente) y subir lo máximo posible. Ritmo controlado: aproximadamente 1 elevación cada 2 segundos (subir y bajar en 1 segundo cada fase). ¿QUÉ SE EVALÚA? Diferencia significativa (>10 repeticiones) entre la pierna afecta y la sana. Incapacidad para mantener la altura completa de elevación o el ritmo. Aparición de dolor intenso que obliga a detener la prueba. Variantes más utilizadas en investigación y clínica Heel-rise test para sóleo: se realiza con rodilla flexionada ~45°. Heel-rise endurance test (Silbernagel et al.): protocolo estandarizado muy usado en rehabilitación, con medición exacta de repeticiones, altura y dolor en escala visual analógica cada 5 repeticiones. Interpretación clínica rápida: Si el paciente no puede hacer más de 10-12 repeticiones con dolor creciente, es muy sugestivo de tendinopatía aquílea significativa. Es una prueba muy sensible para detectar limitación funcional y para monitorizar la evolución en el tratamiento (fuerza excéntrica, carga progresiva, etc.). En resumen: la prueba de elevación de talones es una herramienta sencilla, reproducible y de gran valor tanto para el diagnóstico como para el seguimiento de la tendinopatía aquílea, porque pone en carga directa la unidad músculo-tendinosa que está lesionada.

Utilizamos un sistema digital de evaluación de Fuerza y Movilidad con dinamómetro e inclinómetro. Si quieres conocer el estado funcional de tu sistema músculo esquelético llámanos y elaboraremos un informe detallado. Los equipos deportivos más importantes del mundo confían en este sistema de soluciones para evaluar, supervisar y mejorar el rendimiento de sus atletas.Estos equipos utilizan diariamente la tecnología VALD para determinar si sus atletas están listos para rendir, si necesitan un descanso o un cambio en los entrenamiento. Este sistema con diseños modulares y ergonómicos, recopila datos a través de pruebas en todas las articulaciones principales del cuerpo, que ayudan al diagnóstico de Fisioterapia. DynaMo de VALD nos aporta un nuevo nivel de precisión en nuestras evaluaciones, lo que nos permite establecer un tratamiento individualizado en cada caso. Los resultados de evaluación se muestran en tiempo real a través de la aplicación DynaMo, elaborando informes de progreso detallados.

Estimado paciente: Gracias por el interés en la Tesis Doctoral de nuestro compañero y Director Miguel Ángel Alcocer Ojeda. Sois muchos pacientes los que habéis estado pendientes de este proyecto animando y apoyando. Así que no podíamos olvidarnos de vosotros y agradeceros el cariño que nos habéis demostrado. El pasado viernes 15 de noviembre de 2024 presentó y defendió su tesis titulada"Estudio Ecográfico Morfológico Muscular en Profesionales de Danza", dirigida por la catedrática Dra. Dª. ANTONIA AURELIA GÓMEZ CONESA, alcanzando el Título de Doctor en Fisioterapia por la Universidad de Murcia dentro del Programa de Doctorado en Salud, Discapacidad, Dependencia y Bienestar por la Universidad de A Coruña; la Universidad de León; la Universidad de Murcia y la Universidad de Salamanca. Miguel Ángel Alcocer Ojeda expuso y defendió de forma brillante su investigación en Dolor Inguinal en relación con la Cadera. La Tesis fue evaluada ante un Tribunal nombrado por la Comisión General de Doctorado de la Universidad de Murcia, obteniendo la calificación de Sobresaliente con mención "cum laude" . Los participantes que integraron el estudio fueron bailarines de élite del Ballet Nacional de España (BNE).

La deformidad del dedo gordo del pie llamada coloquialmente "Juanete", se puede tratar con Fisioterapia mediante vendaje para reducir la desviación , el dolor y la discapacidad a la hora de caminar. El tratamiento conservador con vendaje, movilización manual y ejercicios apropiados pueden mejorar ostensiblemente el juanete y evitar la cirugía si se toman medidas preventivas y tratamiento adecuado. Llevamos aplicando muchos años este tratamiento con bastante éxito llámanos y estudiamos tu caso. Short-Term Effects of Kinesiotaping on Pain and Joint Alignment in Conservative Treatment of Hallux Valgus https://pubmed.ncbi.nlm.nih.gov/26435086/










